


San Francisco Fertility Testing
Exploring Fertility Testing in the San Francisco Bay Area


San Francisco Bay Area, a hub of advanced medical services, offers a comprehensive range of fertility testing options for individuals and couples seeking insights into their reproductive health.
San Francisco Fertility Testing Includes Three General Categories of Infertility Factors
Male Factor Infertility
Male Factor Infertility
A significant portion of all infertility is due to male factor infertility, and the presence of male infertility has a major impact on the direction of fertility testing and treatment.
Unless semen evaluation results are highly abnormal (i.e., a concentration less than 3 million, total motility less than 3%, and normal morphology less than 3%), the test results cannot be reliably used to assess the male fertility potential.
We use your semen assessment to guide us in selecting the optimal method for semen preparation in your fertility treatment.

Egg Quality Factors
Egg Quality Factors
Ovaries not only produce eggs, but they also secrete the female reproductive hormones estrogen and progesterone. These hormones are produced by granulosa cells, which line the inside of the ovarian follicles, where the eggs mature.
The function of granulosa cells and the production of female hormones depend on the eggs’ biological health inside the follicles. Normal egg quality equates to normal levels of estrogen and progesterone.
Egg quality is the most important factor in determining the female fertility potential.
At Bay IVF, we utilize a combination of transvaginal ultrasound examination of the ovaries and an assessment of reproductive hormone levels to estimate your “biological age.” The results of these tests will determine the most appropriate treatment for you.
During your initial visit at Bay IVF, you will have an ultrasound examination of your ovaries to determine the number of antral follicles (seen as small dark circles) within each ovary. The number of antral follicles is related to the quality of the eggs. Ideally, there should be approximately 20 antral follicles in both ovaries combined. Too few or too many antral follicles mean that normal quality eggs may be infrequent or even absent within the ovaries. The majority of women will have 12 to 24 antral follicles.
Ovarian Reserve Assay assesses the likelihood that normal quality eggs can be produced. It consists of the measurement of Follicle Stimulating Hormone (FSH), estradiol (estrogen, E2), and Anti-Mullerian Hormone (AMH) blood levels.
FSH stimulates the ovaries to produce eggs. The FSH level increases if the ovaries cannot produce normal-quality eggs. Estradiol production by the ovaries influences FSH secretion and is also related to egg quality. FSH should ideally be less than 7.0, and estradiol less than 30.
AMH level also reflects the quality of eggs, and the result should ideally be 2 to 4. Lower or substantially higher levels signify less than optimal egg quality. The AMH result is used to optimize your ovarian stimulation.
Most women will have normal Ovarian Reserve Assay results. An abnormal result does not necessarily mean that you cannot get pregnant with your own eggs. If the test results are abnormal, we typically recommend repeating the test.

Uterine and Fallopian Tubes Factors
Uterine and Fallopian Tubes Factors
Your endometrial cavity must be free of polyps, scarring, and myomas (fibroids) before any treatment can be initiated. The presence of any of these structures inside the uterus could significantly compromise the likelihood of embryo implantation.
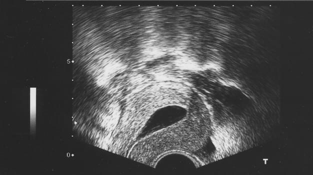
We use saline ultrasound to assess the endometrial cavity of your uterus. A thin, soft catheter is passed through the cervix into the uterus, and a small amount of sterile saline solution is gently instilled. A transvaginal ultrasound is used to confirm the absence of polyps, scarring, or fibroids inside the uterus.
This ultrasound image shows a normal endometrial cavity. Polyps and fibroids (myomas) would show as lighter shade “filling defects” within the dark saline-filled endometrial cavity.



FAQ — Find Answers to Your Queries
Here are some of the most commonly asked fertility-related questions. A more comprehensive FAQ selection is available on the FAQ page.
Should we transfer one or two embryos?
About half of our patients transfer two embryos at a time, while the other half choose to transfer only one embryo in each transfer. We will always provide guidance, but you will have the final say in whether to transfer one or two embryos.
What is gender selection treatment?
Gender selection is an extension of IVF treatment that utilizes the Pre-implantation Genetic Testing (PGT) procedure to identify the gender of each embryo. With this method, prospective parents can know the gender of each embryo with 100% accuracy prior to transfer into the uterus.
I am from the LGBTQ+ community. Can I have my treatment at Bay IVF?
Yes! We take pride in being one of the first fertility clinics in Northern California to offer In Vitro Fertilization services for lesbian partners. Our clinic is LGBTQ+ friendly and experienced in both lesbian IVF and Reciprocal IVF.
Is the egg retrieval procedure painful?
Your egg retrieval should be a very comfortable experience, as we use effective pain and relaxation medications. Most patients will sleep through the 5-10 minute egg retrieval procedure, though some may experience mild menstrual-like cramping.
What is the IVF cut-off age?
The probability of a successful IVF treatment becomes exceedingly low by age 44. You must be 43 and 11 months or younger at the time your IVF treatment begins. Patients who are 44 and older should strongly consider Donor Egg IVF as the most effective treatment option to achieve a successful pregnancy.
I am over 44, but my ovarian reserve is very good. Can I do IVF treatment?
We have occasionally provided IVF treatment to women over the age of 44 when their antral follicle count and AMH results suggest that their eggs are biologically younger than their chronological age.
What are the BMI requirements?
Your BMI must be no greater than 31 for an adequate ovarian response and safety during the egg retrieval procedure. If your BMI is higher, please follow the IVF Diet and Lifestyle (PDF) recommendations as closely as possible. Doing so can help you achieve weight loss at an optimal rate, which could significantly improve your chances of a successful pregnancy.
Do you offer payment plans?
Our IVF Duo and IVF Trio Financial Plans can provide substantial savings compared with single-cycle IVF fees. Two- and three-cycle financial plans for Egg Freezing are also available.
Bay IVF has partnered with Future Family to offer accessible, personal, and affordable fertility care financing. Their mission is to make fertility care more accessible and affordable. Future Family loans are an alternative to high-interest credit cards and dipping into your savings. They offer 0% APR financing for those who are eligible, as well as low monthly payment plans. Prequalifying is risk-free, easy, and will not affect your credit score.



Single Parent Families and LGBTQ+
We are proud of being the fertility clinic providing IVF for single parents and LGBTQ+


Prerequisites for IVF, Embryo Banking, and Gender Selection
Only a few treatment prerequisites are needed before the start of your treatment. They assess the egg and sperm quality and ensure that embryos can be accurately placed in a healthy uterus.
Female partner’s age
The likelihood of a successful IVF treatment significantly decreases by the age of 44. To be eligible for IVF treatment, you must be 43 years and 11 months or younger when your treatment begins. Patients who are 44 and older should strongly consider Donor Egg IVF as the most effective treatment option for achieving a successful pregnancy.
Female partner’s weight
For an optimal ovarian response and your safety during the egg retrieval procedure, it is important that your BMI is no greater than 31. If your BMI is higher, we recommend following the IVF Diet and Lifestyle (PDF) recommendations as closely as possible. By doing so, you can achieve weight loss at an appropriate rate, which may significantly enhance your chances of a successful pregnancy.
Pathogen testing
This testing is required by the State of California. You and your partner (if applicable) must be tested for Hepatitis B-Surface Antigen, Hepatitis C-Antibody, HIV I&II, HTLV I&II, and RPR.
Ovarian Reserve Assay (ORA)
ORA assesses the likelihood of producing normal-quality eggs. It involves measuring the levels of Follicle Stimulating Hormone (FSH), estradiol (estrogen, E2), and Anti-Mullerian Hormone (AMH) in the blood.
These test results provide insights into the quality of eggs and are utilized to optimize your ovarian stimulation.
Uterine measurement and saline ultrasound
Knowing the length of the uterus is essential for precise embryo placement. Saline ultrasound is performed to eliminate the presence of intrauterine polyps and fibroids.
Semen evaluation
The male partner’s semen will be assessed at the Bay IVF laboratory to determine the optimal method of semen preparation for IVF egg insemination.
Parents’ genetic testing (optional)
All prospective parents should consider genetic screening for hundreds of the most prevalent genetic diseases. Please inform us during your initial appointment at Bay IVF if you would like to have your blood sample sent for genetic screening.
IVF diet and lifestyle
Environmental factors can greatly influence reproductive health. We encourage you to review the IVF Diet and Lifestyle document (PDF) for a comprehensive list of requirements regarding reproductive health and a recommended source for dietary supplements.


Additional Information About the San Francisco Bay Area Fertility Testing
The San Francisco Bay Area offers a variety of clinics and resources for fertility testing.
Choosing a Clinic for fertility testing in the San Francisco Bay Area
Clinic philosophy: Some clinics specialize in specific fertility issues or use a more holistic approach.
Location and convenience: Consider clinic hours and proximity to your home.
Doctor qualifications and experience: Choose a fertility clinic with board-certified fertility specialists.
Patient reviews: Reading online reviews of San Francisco Bay Area fertility clinics from past patients can be helpful.
Insurance coverage: Check with your insurance provider to see which fertility services are covered and if a referral is required.
Where to access fertility testing in the San Francisco Bay Area
Fertility clinics: The San Francisco Bay Area has many fertility clinics offering various fertility testing and treatment options.
Hospitals and medical centers: Many hospitals and medical centers in the San Francisco Bay Area offer fertility testing services.
Private practices: Some San Francisco Bay Area fertility specialists in private practice offer comprehensive fertility testing services.
Community health centers: In the San Francisco Bay Area, community health centers may provide basic fertility testing services or referrals to specialists for more comprehensive testing.
What to expect during the San Francisco Bay Area fertility testing
Initial consultation: The first step is usually an initial consultation with a fertility specialist. During this visit, the specialist will review medical history, discuss any concerns, and recommend appropriate fertility testing.
Testing process: The process may vary depending on the fertility tests recommended. Blood fertility tests can typically be done at the fertility clinic or a nearby laboratory. Imaging tests like ultrasounds may also be performed on-site.
Follow-up appointment: After the testing is completed, a follow-up appointment will be scheduled to review the results. The specialist will discuss the findings and recommend the next steps, which may include further fertility testing or treatment options.
Cost considerations
Fertility testing costs in the San Francisco Bay Area can vary depending on the type of tests performed and insurance coverage. Some clinics offer special packages or self-pay options. Insurance coverage for fertility testing may vary, so it’s advisable to check with your insurance provider beforehand.
Next steps
Schedule a consultation: Contact a fertility clinic in the San Francisco Bay Area to schedule a consultation with a healthcare professional who can discuss your fertility goals and recommend appropriate testing.
Consider support groups: Fertility concerns can be emotionally challenging. There are support groups available in the San Francisco Bay Area that can provide a space to connect with others who are on a similar journey.
Meet Your Doctor

- Dr. Polansky received his medical diploma from Charles University in Prague, the Czech Republic, in 1978.
- After completing his OB/GYN residency at Jewish Hospital in Saint Louis, MO, he graduated from the Reproductive Endocrinology and Infertility (REI) fellowship at Stanford University in 1985.
- In the same year, he co-founded the Stanford IVF Clinic.
- Dr. Polansky obtained board certification in Obstetrics and Gynecology in 1986 and became REI subspecialty board certified in 1988.
- In 1987, he left Stanford University and established Nova IVF.
- In 2011, he founded Bay IVF, where he provides advanced fertility treatments with a holistic approach, utilizing state-of-the-art techniques.
- Dr. Polansky personally performs ultrasound examinations, egg retrievals, embryo transfers, and ovarian and endometrial stimulations for his patients.
- He is deeply committed to his patients and is always ready to lend a helping hand.
Frank Polansky, M.D.



Initial Appointment Questions
When you call to schedule your consultation, one of our Front Office Coordinators will ask you a short series of questions regarding your reproductive history.
Your Initial Visit at Bay IVF
Attending a new patient appointment at a fertility clinic can be stressful. Our primary objective is to ensure that your initial visit is friendly and relaxing. We encourage you to ask questions at every step of the process.

1 — When You Arrive
You will be welcomed by one of the clinic receptionists. One of our nurses will measure your height and weight and take your blood pressure

2 — Meet Your Doctor
Dr. Polansky will ask you a series of clarifying questions and then provide you with a summary of the factors contributing to your infertility

4 — Exam Room
One of the nurses will escort you to an examination room. Your examination will begin with listening to your lungs and heart

3 — Ask Your Questions
You will then have a discussion with him about the most suitable reproductive treatment(s) for you. During this time, you will have the opportunity to ask any questions you may have

5 — Ultrasound of the Ovaries
The next step is a pelvic ultrasound to examine the uterus and ovaries. This ultrasound will help determine the number of antral follicles present within the ovaries

6 — Financial Part
Following that, you will have a discussion with one of the financial advisors regarding the financial aspects of your treatment, including potential treatment financing options

8 — Support 24/7
If you have any questions after leaving the clinic, please feel free to reach out to us via phone call, text, or email. Open and discreet communication is an integral part of the care we provide at Bay IVF

7 — What About Time?
Your entire visit is expected to last approximately one hour


Schedule Your Initial Consultation With Dr. Polansky
Online (No Cost) or In-Person
Call or Text Us: 650 322 0500
You can also complete the form below to request your initial consultation.


We look forward to meeting you at Bay IVF and, when your treatment is successful, celebrating your new pregnancy!





